고재진
대표원장
중환자치료(Critical Care)
중환자수술(Trauma Surgery)
약력







저희 24시동탄시티동물의료센터에서는 반려동물과 보호자에게 최선을 다하여 진실되게 치료하는 것을 공통의 목표로 나아가고 있습니다.
대학 병원 및 2차 동물 병원에서 많은 경험을 갖고 계신 수의사 선생님들로 구성된 의료진들이 내과/외과 진료를 진행하고 있으며, 복합적인 질환을 갖는 환자의 경우, 내과와 외과의 협진 시스템이 효율적으로 구축되어 있습니다.
더 나아가 신장/혈액투석 클리닉과 심화 수술 센터를 운영하여, 타 병원에서 좀 더 심화된 내용의 처치가 필요할 경우, 협업하여 진행하고 있습니다.
저희 24시동탄시티동물의료센터를 찾아주신 반려 동물 및 보호자분들께 다시 한번 감사드리며 본원에 내원하는 환자의 빠른 쾌유를 위하여 최선을 다하겠습니다.
대표원장 고재진
동탄시티동물병원은 최고의 실력을 보유한 석박사 출신 전문 수의사가 상주하고 있으며 끊임없이 배움을 실천하고 있습니다.
최신의 장비를 사용하여 보다 빠르고 정밀한 진단이 가능합니다. 원내 CT 및 신장 투석기를 보유하고 있습니다.
무균 수술실과 술후 집중케어를 할 수 있는 입원실이 완비되어 있으며 오직 환자를 위해 정성을 다하여 수술을 진행합니다.
입원실은 24시간 운영이 되며 입원환자를 상시 집중 관리를 하고 있습니다.
중환자치료(Critical Care)
중환자수술(Trauma Surgery)

정형외과(Orthopedic Surgery)
연부조직외과(Soft Tissue Surgery)

정형외과(Orthopedic Surgery)
연부조직외과(Soft Tissue Surgery)

내과(심장/신장) 중환자치료(Critical care)

응급진료(Emergency & Critical Care)


정형외과 전공의 수의사가 직접 수술합니다.
호흡마취 시스템과 실시간 모니터링을 통해 안전한 마취가 가능합니다.
환자의 상태를 종합적으로 판단하여 수술을 진행합니다.
수술의 연장선상에 있는 재활 역시 최선을 다합니다.












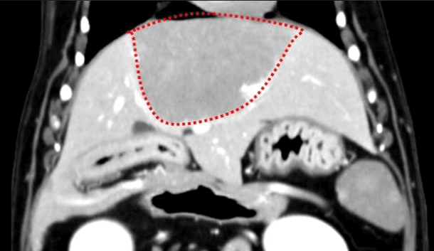
간, 담도 수술은 수술뿐만 아니라, 수술 후 중환자 관리도 중요하기 때문에 외과와 내과의 협진이 매우 중요합니다. 동탄시티동물의료센터에서는 최신 수술 장비의 도입으로 간담도 수술에서 출혈 및 부작용을 최소화 하였으며, 수술 후 협진 시스템을 통해 수술 후 관리에도 최선을 다하고 있습니다.

간종양

담석

담낭점액종


간단한 진정만으로도 혈액투석 가능
기존의 투석시스템에 비해 다양한 치료 모드로(CCVHDF) 안정성 및 치료율 향상
필요혈액량을 최소화 하여 소형견/고양이 투석가능(2kg) 이상
정확한 체액 균형 조절 기능
최신 모니터링 기능 장착하여 부작용 최소화
내장된 안전 알람 시스템

최고 사양 영상 장비를 활용한 정밀한 전이 평가
외과 협진 시스템을 통한 신속한 종양 수술
조직 검사 후 종양의 특성에 맞는 항암 치료 및 전기 화학 치료
환자와 보호자의 삶의 질을 고려한 진통 관리 및 치료 방향 설정





동탄 1 신도시 최초 Aquilion CX/128 slice CT를 동물병원에 도입하였습니다. 최고 사양 CT 모델 Aquilion CX/128 slice를 활용하여 0.5 mm의 얇은 128개의 단면 영상을 신속히 획득 할 수 있어 마취 시간을 단축시킬 수 있습니다. 또한, 128 슬라이스의 고화질의 CT 영상을 통해 영상 왜곡을 최소화하고 X-ray에서는 확인하기 힘든 5 mm 이하의 미세 병변도 확인이 가능하여 정확한 진단을 할 수 있습니다. 심화 진단이 필요한 경우, 조영제 인젝터를 통한 동맥기 촬영으로 종양 유래 확인, 간 질환 진단, 심혈관계 진단이 용이합니다. 저희 동탄시티동물의료센터에서는 본원 환자뿐 아니라 1차 동물 병원과의 CT 촬영 의뢰 시스템을 통해서 원활한 협진이 가능하도록 최선을 다하고 있습니다.

64채널 검출기 시스템 128
슬라이스 이미징 능력
고속 스캔 및 높은 해상도 제공
저선량 기술 적용으로 환자 방사선 노출 감소




0164 채널 CT 촬영을 통해서 신속하게 고화질 영상을 얻어, 종양 유래 확인 및 전이 평가, 간문맥단락증(PSS), 선천적 뼈 기형과 같은 심화된 진단을 할 수 있습니다.
02C-arm을 통해서 좀 더 섬세한 정형외과 수술을 진행하고, 본원에서는 외과적 침습을 최소화 하는 중재적 시술 (기관 협착, 동맥관개존증(PDA), SUB 등)을 진행하고 있습니다.
03본원에서는 CRRT(지속적신대체요법)를 이용하여 신장의 비가역적 손상을 막는 궁극적인 치료가 가능합니다.
04흉복부, 골격계 전반의 선명하고 우수한 영상을 저선량으로 촬영이 가능
05선명한 초음파 영상 심장/응급초음파 포함, 장기 내부이상에 정확, 빠른 진단이 가능
06전세계적으로 전기종양치료(ECT)치료가 가능한 장비중 임상적 증명이 확보된 장비
07초음파로 탄력 있는 혈관 및 신경 조직을 남기고, 조직을 절제하여 출혈을 최소화하고 정교한 수술을 가능하게 하는 수술 장비
08LF1212 보다 빠르고 간결한 수술을 가능하도록 함
09주사마취와 다르게 보다 안전하고 빠른 회복이 가능한 마취기
1024시간 93%이상의 산소를 공급할수 있는 장치로 보다 안전한 수술 가능
11유명한 Stryker사 장비. 골절 수술, 절골등 다양한 정형/신경외과 수술시 사용
12정교한 정형외과 도구를 사용하여 신속 정확한 정형외과 수술이 가능
13수술 중 골절 상태 혹은 이식물 적용 후 상태 등 육안으로 명확히 확인하기 힘든 상태를 X-ray 확인하여 정확한 수술 결과를 만들어 내는 것이 가능
14스케일링,폴리싱 등의 치과치료시 짧은 마취시간으로 경제적 진료 가능
15치과 진단 및 치료시,육안으로 보이지 않는 치아상태 검진이 가능
16수술과정에서의 환자감시장치
171분내 산/염기, 전해질 및 이온화 칼륨수치 확인 정확,신속한 상태 평가 가능
18혈청 및 형장을 통한 혈액 내 효소를 정확히 측정하여 환자의 상태를 정확히 파악하고 질병 진단 가능
19적혈구,백혈구,혈소판을 분석하여 빈혈 및 다양한 혈구질환을 정확히 진단가능
20일반 혈청화학분석기에서는 어려운 고급검사 진행가능
21뇨검사를 검사장비가 측정하여 보다 정확한 검사수치를 확보
22혈액의 응고장애와 관련된 질환의 여부를 평가, 중환자 및 수술의 안정성을 확인 가능
23고온고압방식의 오토클레이브와 다르게 고급장비 및 빠른 멸균시간이 가능
진료에 대한 문의 및
예약상담을 위해 항시 대기하여
친절히 상담해 드립니다.
031-8003-7533
365일 24시간 연중무휴
주간 : 오전 9시 - 오후 9시
야간 : 오후 9시 - 오전 9시
점심시간 : 오후 12시 - 오후 1시

건물주차장
- 건물 지하 1층 (SUV 불가)패밀리타운주차장(뒷편 주차빌딩)
- 1시간 주차 무료입니다.24시 동탄시티동물의료센터는 반려동물의 질환에 대해서 전문적으로 치료하는 병원으로 구성되어 있습니다.
세부적으로 정형외과, 연부조직수술, 신장/혈액투석, 종양외과를 포함한 항암치료, 중환자치료센터, 그리고 진단영상센터로 구성되어 있습니다. 이러한 구성을 통해 중증질환의 치료시에 보다 발전된 진단및 치료방식으로 운영되도록 노력하고 있습니다.
본원의 직원채용관은 인간미 있는 효율성을 중요시합니다. 따라서 근무자 또한 삶의 질이 유지되어야만 하며 즐거운 환경에서 근무하도록 노력하고 있습니다. 그에 따라 선한인성과 올바른 근무윤리를 지닌 인재상이 필요합니다.
본원의 직원복지와 의무는 노무법에 따른 고용형태를 지니고 있습니다.
감사합니다.